Got them old lateral anterior descending artery blues again…(slight return)

You can read the text below or spend nine minutes or so listening to me read it.
Wednesday, late morning, April 2025. Battered plastic seating, firmly anchored. It’s sunny, hot for the start of supposed spring, and it’s quiet here at Reception. Waiting in the waiting room. Here we are being received, we battered and suffering, terrified for ourselves or others. A tiny, very young mother with an enormous baby. A staggering scaffolder, dragging a leg, face waxy with pain. The elderly. Most of us are elderly.
We wait.
Kilmarnock Infirmary, 1968, and I’m being X-rayed in the Accident and Emergency unit for a suspected broken arm, sustained during the kind of rugby practice I’m sure traduces health and safety rules galore today.
Keir ‘Papa’ Hardie, Marr College’s head of PE, eventually drops me off at home in Troon, my arm in a sling. Merely a torn muscle. I still remember the look of horror on my mother’s face when she opened the door. I wore that dressing with pride for days, one arm of my purple blazer tucked into a pocket, like Mr Mahood at the Gospel Hall, who’d lost his arm in a shipyard accident.
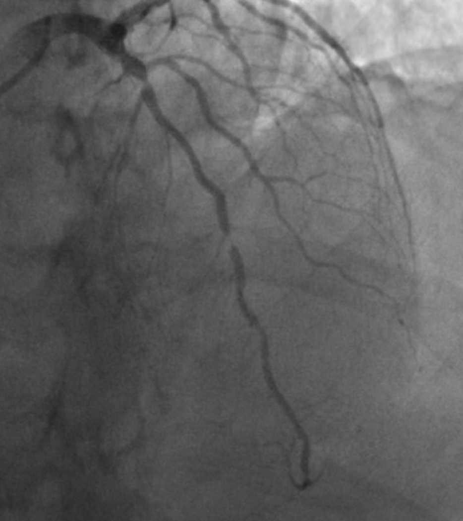
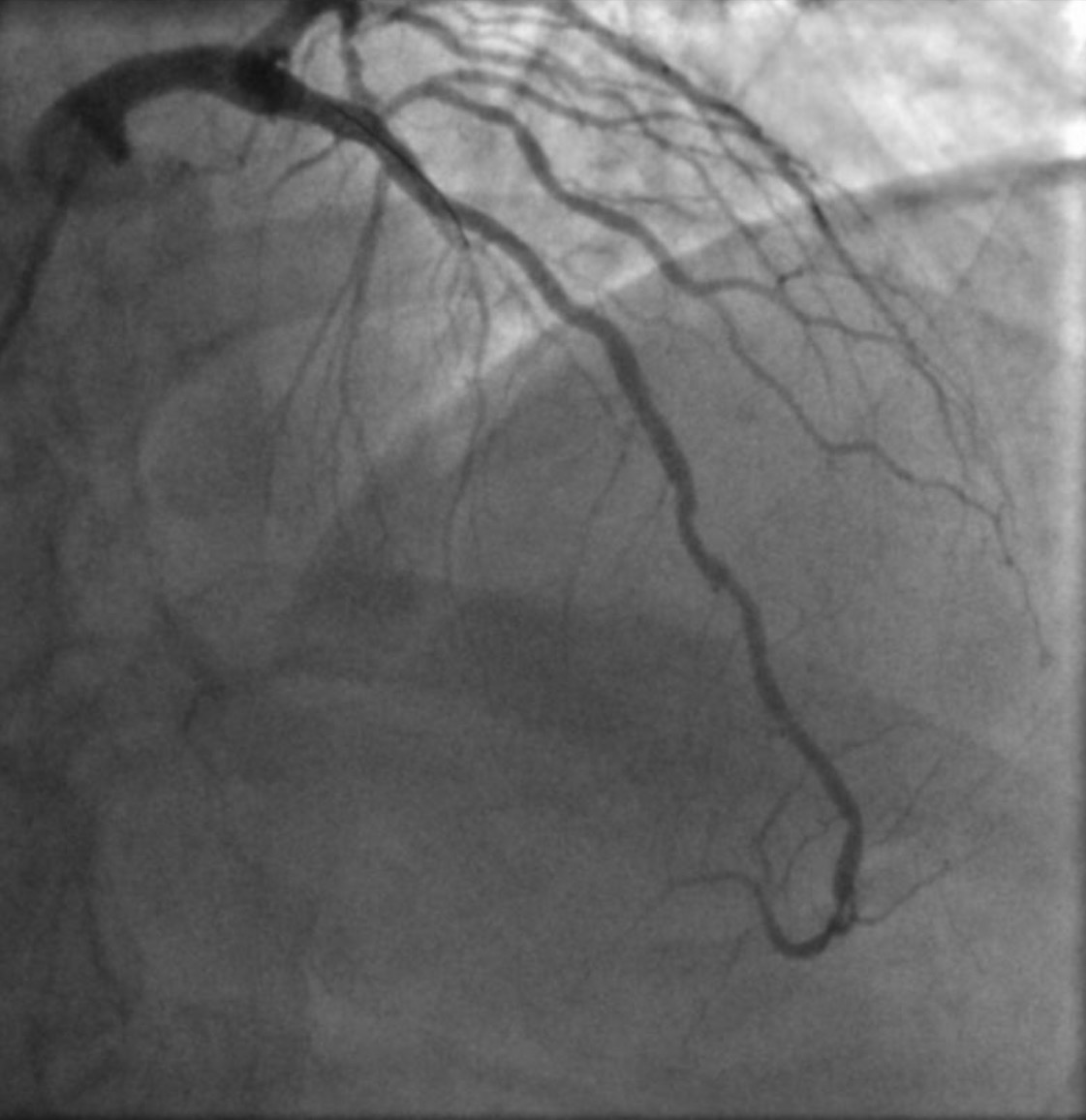
Almost 60 years later and all emergency roads lead from Troon to either Ayr or University Hospital Crosshouse, a couple of miles outside Kilmarnock, which opened in 1984 and in 2023, unfortunately, was brought to literary infamy by John Niven’s best-selling memoir O Brother. It dealt with the tragic death by suicide there of his brother Gary, from Irvine. I know, however, because my daughter has worked there and loved it, that Crosshouse is the place for me, suffering as I am from chest pain and all the panicky fears associated with a decade of living with a much-repaired and genetically dodgy heart. Ten years ago, it was a close thing. That Lateral Anterior Descending Artery had narrowed in several places to almost nothing. Like trying to squeeze the entire Clyde estuary through the Forth and Clyde Canal.
It’s a tribute to the Cath Lab (catheterisation laboratory) at Aberdeen Royal Infirmary (especially the bravery and skill of Dr Ryan), the Gilbert Bain Hospital in Lerwick, various GPs and other doctors, notably ones named Morton and Bowie that I’m still functioning today. Many nurses, paramedics, ambulance drivers, Scottish Air Ambulance pilots and porters, too. The full and glorious of panoply of care in Scotland’s NHS. Heartfelt thanks, always. Through technology and magic, arteries have been expanded by balloons and braced with mesh. Add a daily cocktail of medications and blood will flow. Has been flowing.
But here we are again.
I’m in my old home town, just me and the dog, when the pain starts. Left arm, neck, jaw, then chest. Shortness of breath. Years – heavily medicated for blood flow, pressure, cholesterol and general discombobulation – have passed without many terrorising blips, though there have been a few. I follow the guidelines that have been drilled into me from the start of this cardiac adventure: GTN spray, 75mg of aspirin. If things persist, call an ambulance, But I’m reluctant – who will look after the dog? The last words, allegedly, of the actress Lucille Ball. All my medically qualified offspring are asleep. And, as it happens, after an uneasy hour or two, so am I.
Next morning Susan arrives from Shetland and I am told in no uncertain terms that I should have made that 999 call. The dog will be fine. I am bundled into the car and it’s off to Crosshouse.
Google Maps takes us along the old roads of my past – Barassie, past Hillhouse Quarry, where I worked one summer, and witnessed some truly horrendous games involving stone-throwing at explosive charges – and then into the old farming and mining territories of inland Ayrshire. The old level crossing is still there, and then there it is. The main hospital’s glassy concrete sweep is frowned upon by the Gormenghast-by-Castlemilk brutalism of the staff accommodation blocks. People like working at Crosshouse, and talk in hushed terms of the canteen and especially the quality of the scones, which apparently attract fit and well connoisseurs from the surrounding area. I’m expecting several hours wait, so wonder if I’ll go for fruit or cheese…

But things move very quickly indeed. A few minutes after arrival at reception, I’m being triaged by a nurse whose Auchinleck accent is reassuringly familiar. Susan hasn’t even managed to park the car (really difficult; she ends up leaving it on a double yellow). I’m trying to remember the drugs I’m on: Sloppy Doggerel, Bisopropane, Candy Staton, Atomic Status…and many more. “Any herbal supplements?” No, nothing. That lavender oil made my breath smell like parma violets. Pain on a scale of ten? Probably three. Was seven or eight.
Another five minutes and then bloods and an ECG. My notoriously inaccessible arm veins are unfussily needled and soaked. We wait maybe half an hour and then I’m called through to the emergency department proper where a charming junior doctor shows me to an examination booth. “This is your space” she says, and I immediately feel guilty. Because all around me, beyond my undrawn curtains I can see very sick people indeed. And I’ve come to the conclusion that I am not, after all, dying. At least not imminently. Besides, I’m in a hospital and they evidently know what they’re doing. All will be well. But not everyone.
The patients are for the most part elderly and immobile, on trolleys and stretchers all down the corridor, in every nook and cranny, crumpled and gowned, dripped and oxygenated. I overhear conversations continually apologising for the absence of beds, explanations that wards are full, more than full. The evidence is all around. A women pleads for more pain relief (“you’ve already had your morphine”). Two cops escort a young and hefty man in evident pain, and in chains. It’s immediately apparent that doctors here are constantly juggling need against resources, and those resources are stretched past breaking point.
Nevertheless, the staff are calm, watchful, good humoured, careful. Care Full. I am treated with absolute courtesy and patience. A full body examination, ankles to eyes. My ECG is OK, and so is my blood pressure., Then it’s just a question of waiting (“It will probably be an hour and a half or so”) for blood results. I don’t see a consultant but what happens next will be his or her decision.
I’d been warned before heading to Crosshouse to expect a six or seven hour wait, but timing was on my side, “and the weather” my son says. In the event, it’s less than an hour before the doctor returns. My troponin level (which indicates heart damage) is 9, and that’s OK. The pain may have been acid reflux, which can be difficult to distinguish from cardiac agony, with a touch of possible angina. But don’t delay if it happens again. The doctor runs through the GTN-aspirin-999 routine, and I’m on my way. Two and a half hours, start to finish. Efficient, kind and incredibly reassuring. Do I feel well now? Not really.
There are arrangements to be made, events to be cancelled, stress to be avoided, and no excuses. I’m feeling exhausted and a bit unsteady. A trip back to Shetland alone has been forbidden. And I’m thinking about the lack of beds at Crosshouse, the talk of building a new, bigger hospital there, and how precious and completely essential our National Health Service is.
Then I remember: I didn’t get a scone.



Leave a comment